診療内容 Medical services
診療一覧
膝関節疾患・スポーツ障害
膝関節グループでは、変形性膝関節症など主に高齢者に多い疾患や、靭帯損傷・半月板損傷など主に若年者やスポーツ選手に多い疾患など、すべての膝疾患に対する診療、治療を行っています。
- 変形性膝関節症
- 人工膝関節置換術や膝周囲骨切り術などを行っています。
- 靭帯損傷・半月板損傷など
- 関節鏡下靭帯再建術、関節鏡下半月板縫合術や切除術、自家軟骨培養移植などを行っています。
-
変形性膝関節症について
膝の軟骨がすり減り、体重がかかる部分の骨に負担がかかり痛みや変形を生じます。原因は加齢によることが多いですが、肥満も関与しています。また骨折、靭帯損傷や半月板損傷などの外傷の後遺症として発症することもあります。
症状は、立ち上がり・歩きはじめなど動作の開始時の痛みですが、末期となると歩行時の痛みが強くなり、歩行など日常生活が不自由になります。筋力訓練や装具、薬やヒアルロン酸の注射など保存的治療では効果がない場合は手術を検討します。 手術の方法としては、主に、人工膝関節置換術と高位脛骨骨切り術を行っています。人工膝関節置換術
-
人工膝関節インプラント
-
3D術前計画
人工膝関節置換術は主に高齢者や変形の強い方に対して有効です。
当院では3D術前計画ソフトを用いたり、ロボット支援手術を行い、より正確で安定した成績を追求しています。また、新たな人工関節の開発にも注力し、より患者さんの満足度を上げるための研鑽を続けています。
変形の少ない患者さんには膝関節の一部のみを人工関節に置換する片側置換術も行っています。高位脛骨骨切り術
O脚のため内側に偏った荷重時のストレスを比較的健常な外側に移動させる手術です。
比較的変形が少なく、スポーツ活動など比較的活動性の高い中高年の方が対象になります。
近年は手術機械や手技の進歩により、人工関節置換術と同程度の入院期間で自宅に退院できるようになってきています。 -
-
靭帯損傷、半月板損傷など
主に若年者やスポーツ選手に多い疾患です。他にも未成年者に多い離断性骨軟骨炎や膝蓋骨脱臼、軟骨損傷など、幅広く診断や治療を行っています。
前十字靭帯(ACL)再建術
-
損傷したACL
-
屈折剣を用いた
解剖学的ACL二重束再建術 -
術後1年
前十字靭帯損傷は膝を捻ったりした際に生じる外傷で、スポーツ選手に多く発生します。
怪我をしてから1〜2週間で痛みや腫れは引きますが、自然治癒しづらく、膝関節が不安定になり踏ん張った際に膝が崩れるような感じが残存します。放置するとスポーツ活動や仕事に支障をきたすだけでなく、半月板や軟骨を痛め、最終的には変形性膝関節症となります。そのため、特に若年者やスポーツなど活動性の高い患者さんには手術が必要となります。
手術は関節鏡を用いて、靭帯の再建術を行います。再建術は膝の屈筋腱(ハムストリング腱)や膝蓋腱、大腿四頭筋腱を用いて、年齢やスポーツ活動の種類や強度など患者さんの特徴に合わせて行っています。半月板損傷
-
半月板後節縦損傷
-
関節鏡下半月板縫合術(inside-out法)
-
癒合した半月板損傷部
半月板は膝関節の大腿骨と脛骨の間にあり、クッションのような働きと膝を安定化させる機能があります。 半月板が損傷すると、膝の曲げ伸ばしの際に痛みや引っかかりを感じます。またひどい場合には半月板が嵌頓し、膝が動かせなくなるロッキングという状態となり、歩けないほど痛くなることがあります。原因はスポーツなどのケガによって生じる場合と、加齢によって痛む場合があります。また前述の前十字靭帯損傷に合併して起こるものもあります。
治療法は、リハビリや保存的治療で改善する場合も多いですが、症状が改善しない場合やロッキングなど症状が強い場合は手術が勧められます。手術は、関節鏡を使った関節鏡下手術を行います。切除術と縫合術がありますが、当科ではできる限り半月板機能を温存するため縫合術を積極的に行っています。 -
股関節疾患
様々な股関節疾患による痛みや機能障害に対して、X線像や血液検査、またCTやMRIなどを用いて病態を十分に評価し、的確に診断します。
手術療法においては、できるだけ股関節を温存する手術を考慮し、必要に応じて人工股関節置換術を行っています。
-
変形性股関節症
前股関節症
初期股関節症
進行期股関節症
末期股関節症
まだ定義や診断基準が定まっていない疾患の1つですが、病態の中心は関節軟骨の変性と消失であり、それに伴い関節唇障害、滑膜炎と骨の変形が生じます。本邦の有病率は1.0~4.0%で、女性の方が高いです。原因が特定できない一次性と特定できる二次性に分類されますが、本邦では寛骨臼形成不全を基盤とする二次性股関節症が多く、約80%に及ぶとされています。発症時期は40歳代から60歳代で多く、両側罹患も少なくありません。硬化骨、骨棘の増生や骨嚢胞が形成される肥大型に比較して、萎縮型は関節症の進行が早いです。病期の進行に伴い、股関節痛と可動域制限が生じます。
-
寛骨臼形成不全
寛骨臼の近位部は荷重を主に支える域で臼蓋とも呼ばれ、主に腸骨から形成されます。大腿骨頭を被覆する主に臼蓋部分の成長が十分でないと、寛骨臼は浅く、関節面は急峻となります。寛骨臼形成不全は頭側だけでなく、しばしば前方あるいは後方の形成不全を伴います。前捻角や頚部長など大腿骨近位部の変形も伴うことが多いです。本邦における本疾患の頻度は欧米に比較して高く、特に女性に多い特徴を有します。大腿骨頭荷重部で寛骨臼の被覆が不良で、過剰なストレスが軟骨にかかり、変性摩耗が惹起されるため、変形性股関節症の発症のリスクファクターになります。
-
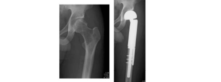
大腿骨頭壊死症
大腿骨頭の栄養血管である内側大腿回旋動脈の血流が障害され、大腿骨頭に骨壊死が生じる病態です。外傷など壊死の原因の明らかな症候性大腿骨頭壊死症とそうでない特発性大腿骨頭壊死症に分類されます。後者はステロイド薬による治療歴や習慣性飲酒のある患者に多いです。骨頭壊死の発生だけでは疼痛は出現せず、荷重により壊死骨が圧潰し、骨梁骨折や骨髄浮腫で発症します。大腿骨頭の圧潰は関節軟骨の障害を導き、変形性股関節症の変化を呈するようになります。荷重部においての壊死域の大きさは疾患の予後を決定する重要な因子で、単純X線像、MRIなどで評価されます。治療は、主に年齢、病期と壊死域によって決定され、骨切りや人工関節置換術などが行われます。
-
大腿骨寛骨臼インピンジメント
大腿骨寛骨臼インピンジメントは寛骨臼側、大腿骨側における軽度の形態異常によって、股関節運動時に繰り返しインピンジメント(衝突)が生じることにより、寛骨臼縁の関節唇および軟骨に損傷が惹起される病態とされます。スポーツ障害の一因としても注目されています。寛骨臼縁あるいは大腿骨頭頚部移行部の特徴的な画像所見のみでなく、臨床所見も含めて評価する必要があります。
-
大腿骨側の軽度の形態異常Cam type
-
寛骨臼側の軽度の形態異常Pincer type
-
大腿骨側と寛骨臼側の軽度の形態異常Combined type
-
主な手術方法
寛骨臼回転骨切り術・寛骨臼移動術
寛骨臼形成不全に伴う二次性の変形性股関節症に対して、寛骨臼を含む骨片を前外側に移動させ、大腿骨頭の被覆を増加させる術式です。移動骨片には関節軟骨も含まれるため、関節軟骨が骨頭荷重部を被覆する生理的な矯正手術になり得ます。健常な軟骨が残存する前・初期股関節症に対する治療成績は良好で、広く普及しています。正常な荷重条件となり、関節症の進行を予防し、関節を温存することになります。
大腿骨頭回転骨切術・大腿骨彎曲内反骨切術
主に大腿骨頭壊死症に対して行う術式で、大腿骨頭に健常(正常骨)域が残っている場合は、大腿骨頭回転骨切り術や大腿骨弯曲内反骨切り術を行います。この手術は大腿骨の近位部で骨切りを行い、壊死していない正常な骨を荷重部に移動させる手術です。大腿骨頭の圧潰と関節症の進行を予防し、関節を温存することができます。
人工股関節全置換術(THA)
3Dテンプレートシミュレーション・Navigation system
THAは股関節疾患の末期像に対して行われる手術法で、関節面の不良な部分を除去し、人工関節に置き換える術式です。寛骨臼側の人工関節はカップまたはソケット、大腿骨の方をステムと呼びます。骨と人工関節の描着には骨セメントを使用する場合としない場合があり、後者をセメントレスと言い、当科の初回THAは大部分を占めます。摺動面における摩耗を減少させるため、ポリエチレン、セラミックや金属などの材料が改良されています。THAにおいては正確なカップやステムの設置が重要ですが、当科では3Dテンプレートによるコンピュータシミュレーションの術前計画と術中にはNavigation systemをすべての手術に使用し、精度を挙げています。
人工股関節再置換術
骨欠損部には同種骨が移植されています。
人工股関節は術後易脱臼性、周囲骨折、骨溶解やゆるみなどの理由から、以前の人工関節を抜去し、新たな人工股関節を設置する再置換術が行われます。初回手術よりも技術的に難しいですが、初回手術と同様、3Dテンプレートによるコンピュータシミュレーションの術前計画と術中にはNavigation systemをすべての手術に使用し、精度を挙げています。骨欠損が生じていることも少なくなく、十分な骨移植を併用しながら、時には補強器具も使用し、股関節を再建しています。
骨軟部腫瘍
悪性腫瘍に対する患肢温存手術、化学療法・放射線療法、良性腫瘍の手術などを行っています。
また、日本臨床腫瘍研究グループ(JCOG)骨軟部腫瘍グループ、日本ユーイング肉腫研究会(JESS)などの多施設共同研究グループに所属し、全国の施設と協力しながら、我が国の標準治療を開発する臨床研究にも積極的に取り組んでいます。
-
骨軟部腫瘍は、全身の骨および軟部組織より発生する非上皮性の腫瘍です。2020年に全面改訂された世界保健機構(WHO)の骨軟部腫瘍分類では、骨腫瘍は8カテゴリーに、軟部腫瘍も11カテゴリーに分類され、合計200種類以上の病理組織分類があり、極めて組織型が多彩であることが特徴です。また、良性から、中間性、悪性のものまで、悪性度も非常に多彩な腫瘍です。
悪性の骨軟部腫瘍はほとんどが「肉腫(サルコーマ)」に分類されます。悪性骨腫瘍は全悪性腫瘍の約0.2%に過ぎず、悪性軟部腫瘍(軟部肉腫)は1%程度と、発生頻度が非常に少ないため希少がん種とされています。日本整形外科学会が実施している全国骨軟部腫瘍登録によれば、2022年度における悪性骨腫瘍の登録総数は677例であり、組織型は骨髄腫、悪性リンパ腫を除くと、多い順に(1)骨肉腫、(2)軟骨肉腫、(3)ユーイング肉腫、(4)脊索腫、(5)骨未分化多形肉腫(UPS:Undifferentiated pleomorphic sarcoma)でした。また、2022年度における軟部肉腫の登録総数は1949例であり、組織型は多い順に(1)脂肪肉腫、(2)未分化多形肉腫(UPS)、(3)粘液線維肉腫、(4)平滑筋肉腫、(5)滑膜肉腫となっています。
-
悪性骨腫瘍のうち、骨肉腫やユーイング肉腫は10代の若年者に多く発生する一方、軟骨肉腫や脊索腫は高齢者に多く発生します。軟部肉腫のうち、横紋筋肉腫や滑膜肉腫は若年者、脂肪肉腫、粘液線維肉腫やUPSは中高齢者に好発します。このように骨軟部腫瘍は発生年齢の分布も非常に多彩です。
-
骨軟部腫瘍は全身のあらゆる部位に発生しますが、骨肉腫は四肢の骨(大腿骨、脛骨、上腕骨)に好発し、軟骨肉腫やユーイング肉腫は四肢のほか体幹の骨(脊椎・骨盤など)にも高い比率で発生する性質があります。軟部肉腫は四肢、殿部、肩周辺に多く発生しますが、中でも特に大腿に好発します。その他、胸腹壁などの体幹表層、後腹膜・縦隔などの体幹深部にも発生します。
-
骨腫瘍の四肢発生例では疼痛、病的骨折、脊椎発生例では疼痛、脊髄麻痺などの症状を呈することがあります。軟部腫瘍では疼痛、腫瘤形成などの症状がみられることがあります。しかし、骨軟部腫瘍に特徴的な症状はありません。
-
他のがん種と異なり、骨軟部腫瘍に特異的な腫瘍マーカーは存在しないため、血液検査で骨軟部腫瘍を疑わせる特徴的な検査所見はありません。 骨軟部腫瘍の診断には、単純X線、CT検査、MRI検査などの画像検査が有用です。これらの検査は、良悪性の判断や非腫瘍性病変(炎症、外傷、静脈瘤、血腫など)との鑑別にも役立ちます。遠隔転移の有無の診断には、胸腹部CT検査、PET-CT検査、骨シンチグラフィーなどが用いられます。 MRI検査は腫瘍の進展範囲が明瞭に把握でき、手術計画の立案にも必須の検査です。十分な画像検査を行わないまま安易に切除したものはunplanned excisionと呼ばれ、高率に腫瘍が残存しているため、腫瘍が悪性であった場合には追加の広範切除や放射線治療などの治療が必要となります。
骨軟部腫瘍の最終的な確定診断には、腫瘍組織の採取(生検)による病理組織診断が必要です。上述のように、骨軟部腫瘍は種類が非常に多いため、骨軟部腫瘍に精通した病理医のいる専門施設でなければ確実な診断は困難です。近年、骨軟部腫瘍においては、染色体転座による腫瘍特異的な融合遺伝子が数多く同定されており、病理診断の補助として非常に有用です。
MRI検査は腫瘍の進展範囲が明瞭に把握でき、手術計画の立案にも必須の検査です。十分な画像検査を行わないまま安易に切除したものはunplanned excisionと呼ばれ、高率に腫瘍が残存しているため、腫瘍が悪性であった場合には追加の広範切除や放射線治療などの治療が必要となります。
近年、骨軟部腫瘍においては、染色体転座による腫瘍特異的な融合遺伝子が数多く同定されており、病理診断の補助として非常に有用です。
-
良性の骨軟部腫瘍であれば、単純な腫瘍切除や病巣の掻爬によりほとんどが治癒します。症状が特に無い場合や腫瘍の増大もみられない場合では、直ちに手術することなく経過観察とすることもあります。
悪性骨軟部腫瘍でも、悪性度が低いものでは、適切な広範切除術による手術で根治が可能です。しかし、一部の浸潤性の増殖を示す腫瘍では、低悪性度でも局所再発率が非常に高く、腫瘍から5cm以上離した広範切除が必要となる場合もあり、注意が必要です。
悪性度の高い骨軟部腫瘍では、適切な広範切除が標準治療として行われますが、手術のみでは予後不良のため、抗癌剤による化学療法が併用されます。特に、小児・若年者に好発する骨肉腫やユーイング肉腫、横紋筋肉腫では、広範切除と組み合わせた化学療法が絶対的適応です。悪性骨軟部腫瘍に対する手術では、以前には患肢の切断、離断術が多く行われていましたが、現在では約90%の症例で患肢温存手術が行われています。患肢温存手術を行っても、切断術に比べ生命予後が悪化することはありません。悪性骨腫瘍の切除後に生じる広範な骨欠損に対しては、各種の再建術を行います。再建の材料としては、四肢であれば腫瘍用人工関節を用いるのがもっとも一般的ですが、液体窒素処理骨を用いた再建、bone transportを用いた再建なども行っています。また、軟部組織の欠損に対しては、形成外科と協力し、各種皮弁形成術による再建を行います。
-
腫瘍用人工関節による再建
-
液体窒素処理骨による再建
悪性骨軟部腫瘍の約15%では初診時すでに遠隔転移が認められます。このような進行例に対しては化学療法が標準治療となりますが、可能であれば原発腫瘍、転移巣ともに切除が行われます。また、標準治療が定まっていない場合や、標準治療が終了した場合には、がん遺伝子パネル検査を実施し、腫瘍の遺伝子変化の特徴に基づいた治療薬を検討することもあります。
切除不能の場合や手術により高度の機能障害の発生が予測される場合には、放射線治療、重粒子線治療あるいは陽子線治療が選択されます。 -
-
代表的な悪性骨軟部腫瘍(肉腫)
骨肉腫
骨肉腫は最も頻度の高い原発性悪性骨腫瘍で、10代に多いものの近年は高齢者でも増加しています。主に大腿骨や脛骨などの長管骨に発生します。
治療は腫瘍の根治的切除と化学療法が標準で、約90%で患肢温存術が行われます。化学療法は術前から実施し、ドキソルビシン、シスプラチン、メソトレキセートによるMAP療法が標準治療です。当科も参加したランダム化比較試験JCOG0905において、転移のない高悪性度骨肉腫の5年生存割合は76.7%でした。
関連記事:
https://pubmed.ncbi.nlm.nih.gov/40138604/ユーイング肉腫
ユーイング肉腫は10代に多いAYA世代の原発性骨腫瘍で、発生頻度は非常に稀です。四肢だけでなく骨盤や脊椎にも発生し、特異的融合遺伝子(EWSR1-FLI1など)が診断に有用です。化学療法・放射線療法に高い感受性を示し、手術と組み合わせた集学的治療が行われます。軟部組織発生例(骨外性ユーイング肉腫)も同一疾患として同様の治療が行われます。
当科も参加する日本ユーイング肉腫研究グループJESSが実施したJESS-04試験の治療成績では、転移のないユーイング肉腫の5年生存割合は69.6%でした。
関連記事:
http://jess-jccg.jp軟骨肉腫
軟骨肉腫は、骨肉腫に次いで発生頻度の高い原発性悪性骨腫瘍です。日本整形外科学会の全国骨腫瘍登録では、2022年度に161例が登録されています。骨肉腫と異なり、60〜70代に発生のピークがある高齢者に好発する骨腫瘍です。四肢長管骨のほか、肋骨や骨盤、肩甲骨にも多く発生します。
軟骨肉腫は、化学療法や放射線療法に対する感受性が低く、それらの治療効果があまり期待できないため、広範切除術による腫瘍の根治的切除が標準治療となります。悪性軟部腫瘍(軟部肉腫)
軟部肉腫は、様々な組織型を含む軟部腫瘍の総称であり、腫瘍を構成する細胞の形態から円形細胞肉腫と非円形細胞肉腫に大別されます。
円形細胞肉腫
円形細胞肉腫は、横紋筋肉腫や骨外性ユーイング肉腫などを含む、若年者に多い稀な軟部肉腫です。化学療法や放射線療法への感受性が高く、手術と併用した集学的治療が標準です。
横紋筋肉腫ではリスク分類に基づき治療が行われます。整形外科で扱う腫瘍の多くは中間リスクで、標準的な化学療法が用いられます。骨外性ユーイング肉腫も骨原発例と同様の治療が行われます。非円形細胞肉腫
非円形細胞肉腫は円形細胞肉腫より頻度が高く、脂肪肉腫、平滑筋肉腫、滑膜肉腫などを含み、中高齢者に多く発生します。
脂脂肪肉腫は最も多い組織型で、四肢や後腹膜に好発し、複数の亜型があります。平滑筋肉腫は後腹膜や骨盤内に多く、局所再発率が高いのが特徴です。滑膜肉腫は若年者に多く、特異的融合遺伝子が診断に有用です。治療の基本は手術による広範切除で、低悪性度では手術のみで根治可能です。高悪性度で腫瘍サイズが大きなものは高リスク例であり、手術のみでは高率に再発・転移を起こすため、ドキソルビシン+イフォスファミド(AI療法)による補助化学療法を実施します。当科も参加したランダム化比較試験JCOG1306において、転移のない高悪性度軟部肉腫のAI療法による3年生存割合は91.4%でした。
関連記事:
https://pubmed.ncbi.nlm.nih.gov/35871234/転移を有する進行例では化学療法が標準治療であり、ドキソルビシンを中心とした化学療法が実施されます。また近年では、ゲムシタビン+ドセタキセル併用療法、パゾパニブ、トラベクテジン、エリブリンなども治療に用いられ、治療選択肢が拡がっています。
-
関連リンク
脊柱脊髄疾患
後縦靭帯骨化症や脊柱管狭窄症などの変形疾患、脊柱側彎症に対する矯正、脊髄・脊椎腫瘍(転移性脊椎腫瘍を含む)、カリエス、化膿性脊椎炎などの感染性疾患を診療しております。
-
脊柱変形
思春期の女の子に多い特発性側弯症や、成人・高齢者の後側弯症(腰曲がり)などの脊柱変形に対し、椎弓根スクリューを使用した矯正術を行っており、脊椎脊髄病学会認定指導医が厳密な手術適応のもとに、最先端の装置、技術を導入し、安全かつ確実に実施しています。
-
25歳女性(特発性側弯症:遺残例)
手術前
手術後
-
72歳男性(後弯症)
手術前
手術後
-
-
脊髄腫瘍
脊髄に発生する腫瘍の摘出術を行っています。手足に麻痺を残さないために、手術用顕微鏡の使用と、術中モニタリングを行うことにより、難易度の高い症例でも良好な成績を得ています。
-
MIS-TLIF
腰椎すべり症に対する腰椎除圧固定術は、以前は手術部位を大きく開き直視下に手術を行っていました。しかし、筋肉を大きく剥離する影響もあり体への負担が大きい手術でした。そこで、体への負担を少なくするため筋肉を大きく剥離せず、レントゲン透視撮影を行いながらスクリューを刺入する低侵襲腰椎固定術(MIS-TLIF)が開発され、当院でも導入しています。
-
XLIF
-
XLIF(エックスリフ)は、MIS-TLIFと同様に日本で普及しつつある低侵襲手術で、欧米では約15年前、日本では2013年から承認され実施されています。この手技の最大の利点は神経を直接触らないで神経の除圧と、脊柱変形の矯正を行える事にあります。全国でも限られた医師と医療機関でのみ実施されており、当院でも行っています。
-
81歳女性(後側弯症)
手術前
手術後
-
小児整形外科
四肢・体幹の生まれながらの異常(先天性疾患)から、成長に伴い生じた異常(後天性疾患)、感染や外傷など、小児整形外科全般にわたる診療を行っています。
小児整形外科チームについて
こどもは、未来を担う大切な存在です。
こどもの身体は単に大人を小さくしたものではなく、日々成長し変化し続けています。また同じ病名であっても、年齢・成長の段階・生活環境・運動量・そしてお子さん一人ひとりの個性によって、最適な治療方針は異なります。そのため私たちは「今どう治すか」だけでなく、「将来どのように成長していくか」という長期的な視点から、画一的な治療ではない症例ごとに最も適した治療を丁寧に考えることを大切にしています。
当科では先天性疾患から後天性疾患、感染や外傷など小児整形外科全般にわたる診療を行っています。大学病院としての知見と経験を活かし、多角的な評価に基づいた治療方針の提案を行えるよう努めています。
診療にあたっては、整形外科のみならず、小児科や産科、健診の先生方からのご相談を歓迎し、連携しながら診療を行っています。保護者の方で気になる症状がございましたら、まずはかかりつけの先生にご相談いただいたうえで、当科受診についてご検討ください。
-
先天性内反足に対するギプス矯正(Ponseti法)
-
発育性股関節形成不全に対する装具治療(リーメンビューゲル)
-
創外固定による変形矯正や骨延長術
整形外傷
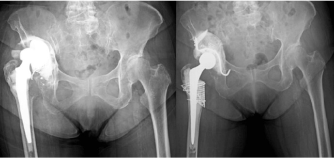
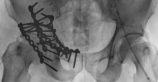
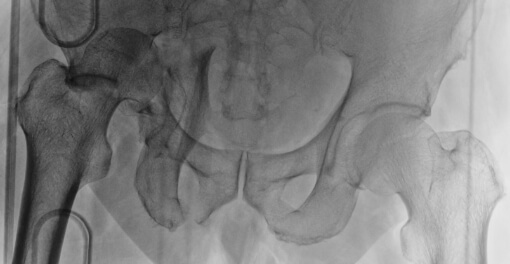
整形外傷チームは高度救命救急センターに搬送される高エネルギー外傷を中心に診療を行っています。具体的には、骨盤・寛骨臼骨折、四肢外傷、脊椎脊髄損傷などです。また、他院では治療が困難な骨盤骨折、四肢開放骨折や偽関節や感染などの難治性整形外傷症例についても紹介を幅広く受けております。
-
寛骨臼骨折症例
粉砕の強い右寛骨臼骨折の症例。前方・後方アプローチによる観血的整復固定術を行いました。
-
-
四肢開放骨折症例
転落外傷による脛骨重度開放骨折の症例。骨接合術および形成外科による遊離皮弁術など複数回手術を経て、最終的には疼痛なく独歩可能となりました。
-
頚椎頸髄損傷症例
転倒による第2頚椎骨折の症例。骨折により頚椎が亜脱臼しており、後頭頚椎固定を行いました。
-
脆弱性骨盤骨折症例
転倒にて受傷した高齢女性。骨折部の転位が大きく疼痛も強かったため手術を行いました。手術は全身への負担が少ない低侵襲手術(小切開によるスクリュー固定)を行い、術後はすぐに荷重歩行訓練を開始しました。
-
-
大腿骨偽関節症例
大腿骨転子間骨折症例。複数回手術を行ったが骨癒合が得られず歩行時の疼痛も持続するため当院へ紹介となった症例です。髄内釘の入れ替えおよび自家骨移植を行い、骨癒合が得られ疼痛なく歩行可能となりました。
整形外傷チームについて
整形外傷チームのスタッフは現在4名です。うち3名は高度救命救急センターに常駐しており、ドクターヘリや救急車で当院に搬送される交通事故、転落事故など重症外傷患者の診療に初療から関わり、その後の手術、入院中の管理、外来経過観察まで一貫して行っています。
当院には骨折治療における国際的標準(原則、分類、教育)を確立したAO Traumaの faculty(教育委員)、日本整形外傷学会の評議員が在籍しており、日々の外傷診療においては最新の医学的知識(エビデンス)に基づいた標準的治療を行っています。また、学術的には臨床研究、基礎研究の結果を学会で発表し、論文として国内外に発信することも積極的に行っています。
リハビリテーション
リハビリテーションとは単なる訓練ではなく、病気や外傷により損なわれた状態から、人間らしい生活を取り戻すことを目的とした医療です。整形外科では、運動機能の回復だけでなく、残存障害や廃用症候群に対し、補助具や環境調整を含めて自立した生活を支援します。
整形外科治療の目標は治療行為そのものではなく、患者さんの社会復帰とより良い生活にあり、手術とリハビリテーションは不可欠な両輪です。
超高齢社会の日本では整形外科疾患による自立困難が増えており、リハビリは健康寿命の延伸と社会保障負担の軽減に重要な役割を果たします。
大分大学整形外科では、整形外科とリハビリテーション医学を体系的に学ぶことができ、将来の多様な働き方にも対応できる診療科です。
骨銀行
病気の治療を行う際に、切除される骨があります。切除された骨は同手術において有効に活用され、余った骨は通常処分されることになります。
しかし、骨を必要とする他の手術の際に、同種骨移植として役立てることが出来ます。
同種骨移植とは、骨が欠損もしくは骨癒合してほしい箇所に、他人から採取された骨を補填することです。同種骨移植を必要とする整形外科の手術が頻繁に行われています。
当科では、感染症の伝搬を予防し、安全に使用するため、同意受理後にご提供頂いた骨をガイドラインに沿って、適切に処理・保存する施設内骨銀行の設備がございます。
常時安定した同種骨の使用を可能にしているのは皆様からのご厚意から継続できている骨銀行のお陰です。心より感謝を申し上げます。